治療例
- TOP
- 治療例
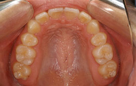
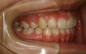
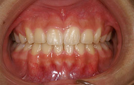
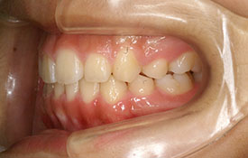
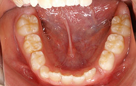
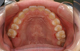
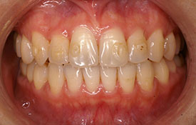
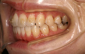
実際に山手矯正歯科クリニックにて、治療された方の例です。
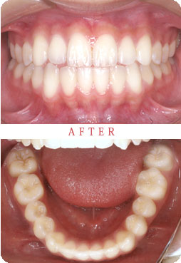
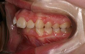
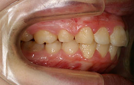
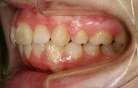
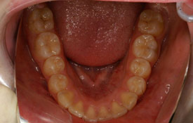
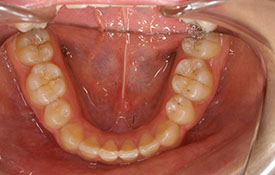
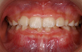
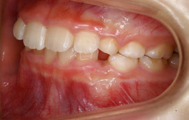
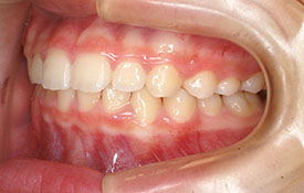
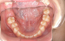
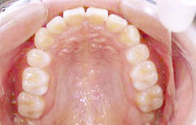
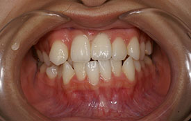
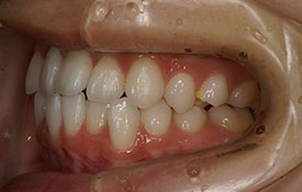
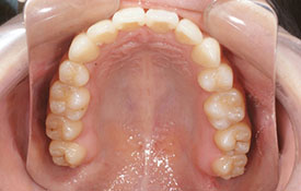
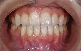
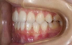
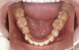
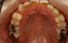
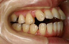
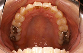
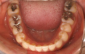
インビザラインの治療例:CASE-1
| プロフィール | 42歳 女性 |
|---|---|
| 所見 | 他院で行われた矯正歯科治療後の後戻りに悩まれて来院されました。 アイライナーの装着は、1日平均20時間ほどでした。 |

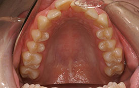
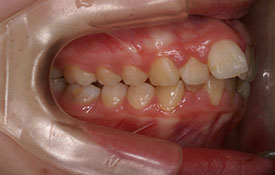
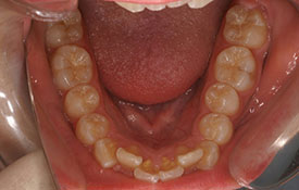
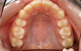
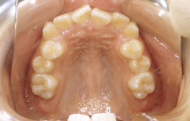
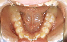
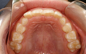
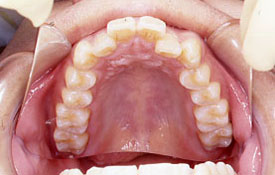
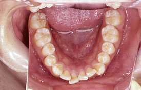
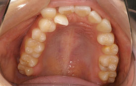
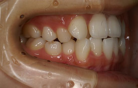
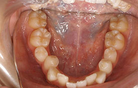
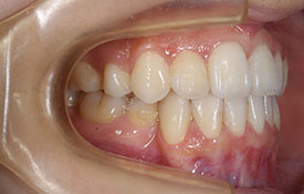
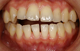
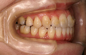
インビザラインの治療例:CASE-2
| プロフィール | 15歳 男性 |
|---|---|
| 所見 | アメリカから転院されて来られた方です。 インビザラインで上下顎の矯正治療を開始し下顎はアメリカで終了しており、上顎のみ治療の後期を担当しました。 アイライナーの装着は、1日平均22時間ほどでした。 |

一般の矯正歯科治療について
ブラケットによる歯科矯正治療の手順
D.B.S(ダイレクト・ボンディング・システム)による矯正歯科治療の手順です。
D.B.Sとインビザラインの性格の比較リストです。治療の参考にどうぞ。
| 条件 | D.B.S | インビザライン |
|---|---|---|
| 費用 | ○ | △ |
| 審美性 | △ | ○ |
| 治療の早さ | ○ | ○(アイライナーの装着時間による) |
1.歯を動かす治療(動的治療治療)
ベーシックには、前歯部に透明なブラケットを使用し、D.B.S(ダイレクト・ボンディング・システム)にて矯正治療をしています。 ほぼ、月に1回の調節にて歯並びを直し最後に装置を外します。上下顎の4前歯にはできるだけ後に装置を付けるようにし、審美性には特に気をつけております。

2.動かした歯をその場所に維持させる治療(保定治療)
矯正治療後には、矯正治療により動いた歯を維持するために「リテーナー(保定装置)」を用いて保定治療を行います。これは、動かした歯の骨が堅くなるのを待つ作業で、通常2-3年で完全に固定されます(年齢や個人による差があります)。審美性や清掃性を考慮し当クリニックでは、主にアイライナーに似た透明なリテーナーを使用しております。
3.動的治療後のアフターケア(Guarantee Program)
動的治療直後の歯は、とても後戻りしやすい時期です。この時期に装置の装着をさぼると後戻りする事があります。せっかく高いお金を出して、努力して直した歯並びを一生維持して頂きたいと考えております。そこで治療後の歯列を保つため通常の場合アイライナーに似た透明なリテーナーをほぼ一日中使用して保定治療をスタートさせます。通常半年から1年毎の通院時に、歯列の状態を観察し、使用条件を見直していきます。最長10年間対応致します。
叢生|ブラケットを用いた治療
CASE 1










CASE 2










上顎前突|ブラケットを用いた治療
CASE 1










CASE 2










上顎前突|ブラケットを用いた治療
CASE 1










CASE 2










※治療例の写真は山手矯正歯科クリニックで治療したものを使用しています。
ブラケットレス治療
CASE 1










CASE 2











